Three Islands Veterinary Services
What is periodontal disease?
The short answer to this question is that it is painful infection and disease of the tissues that support the teeth, including gums and bone. Periodontal disease starts as plaque, the same as with people. Plaque is that soft ‘scum’ on the teeth that we humans brush off (hopefully!) on a daily basis. It is formed from bacteria and food and it is soft at the start, but if not removed it hardens into tartar. Tartar smells bad and causes the teeth to look brown. The problem with plaque and tartar is that they move silently but painfully, deeper and deeper under the gum line down the root until the tooth and bone eventually becomes so diseased the tooth needs to be removed.

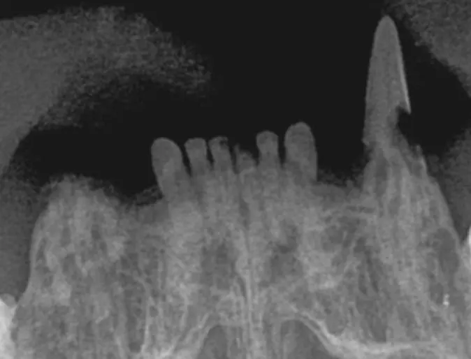
Before
Tartar and Periodontal Disease

After
Cleaning and necessary extractions
Why does my pet have periodontal disease?
There are MANY reasons dogs and cats may get periodontal disease. Some have crowded teeth (such as ‘snub nosed’ breeds like Shih Tzus and Pugs), some have a reduced immune system, some have a malocclusion (poor fitting bite) and many have a genetic predisposition. Small dogs and certain breeds like Yorkies, Poodles, Miniature Schnauzers and Chihuahuas are very commonly affected and many cats also get periodontal disease. Just as many people seem prone to excessive plaque buildup, so do some pets.
How do we know how severe my pet’s periodontal disease is?
This is the really tough question! Because most periodontal disease lies below the gum line, much of it is HIDDEN! It is like an iceberg, in that we only see the tip of the problem, and once we see that, it is often much worse below the surface.
In an awake dog or cat, it is not possible to know exactly how severe the problem has become. We need the patient to be fully asleep (anaesthetized) to examine each tooth individually. This involves removing the tartar, probing all around each tooth to measure the depth of the ‘pocket’ under the gum line and taking dental x-rays of all teeth to look at the root and supporting bone. Only then can we say which teeth are diseased and which are healthy.
Is it necessary to take dental x-rays?
Absolutely! (Ask your own dentist if he/she needs dental x-rays to assess your teeth.) We gain a tremendous amount of information when we can see the tooth root and the bone that supports it. We can see broken roots, tooth root infections, teeth that are being absorbed, extra roots, ‘missing teeth’ that are really hiding buried in the bone, bone cysts and the list goes on and on. All veterinary dental specialists say that intra oral x-rays are essential to do a proper job. At Three Islands Vet Services, we have a high quality digital dental x-ray system. We can provide a free copy of these x-rays on cd or by email to owners if requested. We can also send a digital copy to your home veterinarian if your pet is not our regular patient.
Is periodontal disease painful? My pet still chews kibble.
Yes, periodontal disease is painful. An inflamed and infected mouth hurts. However, if you are an animal in the wild and you have pain, does it make sense to whine and complain and tell everyone you are suffering? No. This behaviour would signal other animals that you are sick or injured. If you are a dog, that would make you the weak member of the pack and if you’re a cat, you may become a target for someone’s next meal. So you pretend everything is fine, try not to look sick or painful and just eat through the pain, sometimes swallowing food whole. If you don’t eat, you starve...so what choice is there?
How do we treat my pet’s periodontal disease?
This totally depends on how severe the disease is. The first step is to examine each tooth while under anaesthetic. There are 42 teeth in dogs and 30 in cats and we individually assess them by visual examination, probing pocket depth and taking x-rays. The ones that can be saved are scaled with an ultrasonic scaler to remove the tartar. The tooth below the gum line is then hand scaled and the teeth are polished to remove tiny scratches in the enamel that allow plaque to stick.
If teeth are “beyond repair”, they are usually extracted. We can offer referral to one of a few veterinary dental specialists in Ontario for root canal treatment or advanced endodontic procedures when indicated.
When extracting, we use a flap technique that surgically lifts a portion of gum off the bone and allows us to work on the underlying tooth and bone. After the surgery is complete, the flap of gum is then stitched back in place, covering the entire socket. This technique allows faster and more comfortable healing to occur. It keeps food out of the socket and prevents the blood clot from coming out (which is called a dry socket and is very painful). In our opinion, the flap technique is the best procedure for extractions. Yes, we do try to save teeth in dogs and cats whenever we can, but far more important than any tooth is making our pets free of pain and infection in the mouth.
If we take out a lot of teeth, how will my pet eat?
If it is necessary to extract teeth, there will be dissolving stitches in the mouth and it will be necessary to feed softened food for 2 to 3 weeks after surgery. This may be canned food or kibble that has been soaked in water to become mushy. If enough of the main chewing teeth have to be removed, your pet may stay on this softened food forever. Pets are better off eating with healthy gums than having a mouth full of infected, sore teeth.
Is anaesthetic safe for my pet?
Many of the pets receiving dental care are older or have medical conditions. At Three Islands Veterinary Services, we do a risk assessment and anaesthetic plan for each patient undergoing a dental procedure. We look at the breed, age and medical conditions that need to be taken into account to make the anaesthetic as safe as possible. We select a mixture of appropriate drugs to reduce risks. Patients are put on IV fluids which helps maintain blood pressure and reduces anaesthetic hangover. And just as anaesthetics have become more advanced in recent years, so has the availability of equipment to monitor such things as blood pressure, blood oxygen content (SP02), respiration rates, expired carbon dioxide levels, body temperature etc. Of course, none of this equipment replaces the hands on monitoring of our experienced technicians who have assisted with hundreds of such procedures.
So, is there any risk?
Yes, there is always very slight risk in pets as there is with people undergoing an anaesthetic procedure...BUT, it is highly probable that the risk of NO oral surgery and leaving infected and painful teeth in a pet’s mouth is far greater than the risk of the procedure! So, making the decision of NO treatment is also a risk to be considered.
What about pain control?
We are highly focused on pain prevention and control. It is far superior to prevent pain than to wait until after the pain is present before treating. And just as we use a cocktail of anaesthetics to improve safety, so do we use a combination of pain control medications. This starts with local anaesthetic to ‘freeze’ the pet’s mouth once asleep. This allows us to do our oral surgery using less gas and injectable anaesthetic and ensures the patient wakes up with a ‘numb mouth’ for about 6 hours. We give narcotics BEFORE any oral surgery starts and in most patients also use non-steroidal pain control as well. All pets go home with additional pain control medications for several days.
What home care will I have to provide for my pet after oral surgery?
Tender loving care mostly! Feed softened food for 2 or 3 weeks if there are stitches. Administer any prescribed medications as directed. If no extractions were performed you can go back to regular food and activity the following day. Often pets are wobbly the night of anaesthetics and should be monitored so they don’t fall down stairs or off furniture. Bleeding is very uncommon and the mouth does not need to be flushed. If stitches are used, they will dissolve in 2 to 3 weeks and don’t need to be removed.
What can I do to prevent future dental periodontal disease?
This is an individual recommendation for each pet. Typically, because plaque is the root of periodontal disease, we need plaque and tartar control for the life of the pet. Brushing once daily is the most effective tool if possible (once all stitches have dissolved). Admittedly, not all pets are ‘brushable’, but many can be convinced if introduced properly. Often, if enough chewing teeth remain, we will recommend a dental food that helps to control plaque. Although most mouth washes and water additives simply don’t work, there is one product recently on the market that has good scientific studies showing significant plaque reduction. It is called healthymouth and is added to a dog or cat’s drinking water. Regular future dental cleanings are a necessity in many pets with periodontal disease, as it is prone to return in these patients. When looking for valid plaque and tartar products that have been scientifically proven to reduce plaque and tartar visit the website www.vohc.org.
Keep in mind that the brushing, dental foods and healthy mouth are ‘preventions’ and do not treat a mouth that already has established periodontal disease. They are best started once a professional cleaning and treatment has been done.
How much does treatment cost?
This is one of the hardest questions to answer until we have our patient asleep and have done a full assessment. While we have your pet asleep and we create a plan, we can phone owners and give a fairly accurate estimate. However, if you have had your pet in to see one of our doctors recently we can often give you a very broad range quote and put a maximum amount on the procedure.
What about cats?
Cats are prone to all the same periodontal problems as dogs. Additionally, some cats get a very painful condition of which the cause is not known. It is simply called Resorptive Syndrome and it involves progressive erosion and destruction of the tooth. It often starts silently below the gum line and essentially erodes its way into the root and crown of the tooth causing severe pain until the crown eventually snaps off. It is common that any given cat will either be totally free of this condition or have many teeth involved. There is seldom middle ground.

Normal cat upper incisors and canine teeth

Resorptive lesions affecting roots and crowns
How do we treat feline resorptive syndrome?
We don’t yet know the cause of this syndrome. The only treatment is to extract the affected teeth to provide much needed comfort. It is common to have additional teeth affected as the years go on, necessitating future treatments. And as with periodontal disease, many cats mask their pain so owners are often unaware their pet is suffering from this condition.
Will my pet be healthier after oral surgery?
Yes, healthier and happier. Usually, within 2 to 3 days after oral surgery, the discomfort level is minimal. There is no longer any rotten bone and soft tissue to be releasing bacteria into the bloodstream as there was before the procedure. The mouth typically heals very fast and many people report that they have a ‘new’ dog or cat again, one that is visibly more interactive and energetic... and free of pain and bad smelly breath! Please don’t hesitate to call if you have any questions.
Sincerely,
Doctors and Staff
